Beyin kanaması MR görüntüleri nasıl yorumlanır?
Beyin kanaması, acil müdahale gerektiren ciddi bir durumdur ve manyetik rezonans görüntüleme (MR), tanı sürecinde kritik bir rol oynar. Farklı MR teknikleri, kanamanın yerini, boyutunu ve türünü belirlemeye yardımcı olur. Doğru tanı, hasta sonuçlarını iyileştirir.
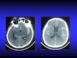
Beyin Kanaması ve MR Görüntüleme YöntemleriBeyin kanaması, beyin dokusu içinde veya çevresinde kan birikmesi ile karakterize edilen bir durumdur. Bu durum, hemorajik inme olarak da adlandırılır ve genellikle acil tıbbi müdahale gerektirir. Beyin kanamasının tanısında manyetik rezonans görüntüleme (MR) önemli bir rol oynar. MR görüntüleme, yumuşak dokuların ayrıntılı görüntülerini sağladığı için beyin kanamalarının değerlendirilmesinde tercih edilen bir yöntemdir. MR Görüntüleme YöntemleriMR görüntüleme, farklı tekniklerle gerçekleştirilir:
Bu teknikler, beyin kanamalarının yerini, boyutunu ve tipini belirlemek için kullanılabilir. Beyin Kanaması TürleriBeyin kanamaları genellikle üç ana türde sınıflandırılır:
Her bir tür, MR görüntülerinde farklı özellikler gösterir. Örneğin, subaraknoid kanamada, beyin sulcuslarında kan birikimi görülürken, intrakerebral kanama, beyin parankiminde yer alan kanama odakları olarak tanımlanır. Subdural hematom ise dura mater ile beyin arasındaki kan birikimi olarak görünür. MR Görüntülerinin YorumlanmasıMR görüntülerinin yorumlanmasında dikkate alınması gereken bazı önemli noktalar şunlardır:
Bu faktörler, klinik karar verme sürecinde önemli rol oynar. Beyin Kanaması ve Acil Durum YönetimiBeyin kanaması acil bir durumdur ve hızlı bir şekilde değerlendirilmesi gerekmektedir. MR görüntülemenin yanı sıra, klinik bulgular, hasta öyküsü ve fizik muayene bulguları da değerlendirilmelidir. Sonuç ve ÖnerilerBeyin kanamalarının hızlı ve doğru bir şekilde tanınması, hasta sonuçlarını önemli ölçüde iyileştirebilir. MR görüntüleme, bu süreçte kritik bir araçtır. Sağlık profesyonellerinin MR görüntülerini etkin bir şekilde yorumlayabilmesi için sürekli eğitim ve pratik önemlidir. Ayrıca, beyin kanamalarının önlenmesi ve tedavi edilmesi konusunda toplum bilinci artırılmalıdır. Ekstra BilgilerBeyin kanaması geçirmiş bireylerde rehabilitasyon süreçleri, fiziksel, bilişsel ve duygusal iyileşmeyi sağlamak amacıyla multidisipliner bir yaklaşım gerektirir. Ayrıca, beyin kanamasına yol açan risk faktörlerinin kontrol altına alınması, ikinci bir kanama riskini azaltmak için önemlidir. Bu faktörler arasında hipertansiyon, diyabet, sigara içimi ve alkol kullanımı bulunmaktadır. |















































Beyin kanaması geçiren biri olarak MR görüntüleme yöntemlerinin ne kadar önemli olduğunu deneyimlemiş biri olarak merak ediyorum, bu tür durumlarda hangi görüntüleme tekniğinin daha etkili olduğunu belirlemek için hangi kriterlere dikkat ediyorsunuz? Özellikle kanamanın boyutu ve yerleşimi gibi faktörlerin karar verme sürecinde nasıl bir rol oynadığını öğrenmek isterim. Ayrıca, rehabilitasyon sürecinde multidisipliner bir yaklaşımın sağladığı faydalar hakkında daha fazla bilgi alabilir miyim?
MR Görüntüleme Yöntemleri ve Önemi
Süeyye Nur, beyin kanaması geçirmiş biri olarak MR görüntüleme yöntemlerinin ne kadar kritik olduğunu deneyimlemiş olmanız oldukça önemli. Görüntüleme yöntemleri, kanamanın boyutu, yeri ve tipi gibi durumları belirlemek açısından hayati bir rol oynar. Genellikle, MR (Manyetik Rezonans) ve BT (Bilgisayarlı Tomografi) gibi yöntemler kullanılır.
MR, yumuşak doku detaylarını daha iyi gösterdiği için kanamanın yerini ve etkilerini değerlendirmede daha etkili olabilir. Ancak acil durumlarda BT, hızlı sonuçlar vermesi nedeniyle tercih edilebilir. Bu iki yöntemi değerlendirirken, kanamanın boyutu ve yerleşimi gibi faktörler, hangi görüntüleme tekniğinin daha uygun olacağına karar vermede belirleyici olur.
Rehabilitasyon Sürecinde Multidisipliner Yaklaşım
Rehabilitasyon sürecinde multidisipliner bir yaklaşımın sağladığı faydalar oldukça fazladır. Farklı uzmanların bir araya gelmesi, hastanın fiziksel, duygusal ve sosyal ihtiyaçlarına bütünsel bir şekilde yaklaşılmasını sağlar. Fizik tedavi uzmanları, konuşma terapistleri, psikologlar ve nörologlar gibi farklı disiplinlerden gelen uzmanların işbirliği, daha kapsamlı bir tedavi planı oluşturulmasına yardımcı olur. Bu da hastanın iyileşme sürecini hızlandırabilir ve yaşam kalitesini artırabilir.
Sonuç olarak, görüntüleme yöntemlerinin seçimi, kanamanın özelliklerine bağlı olarak değişiklik gösterirken, multidisipliner bir rehabilitasyon yaklaşımı ise hastanın bütünsel iyileşmesini destekler.